بریج دندان یکی از درمانهای رایج برای جایگزینی دندان از دسترفته است، اما مانند هر روش ترمیمی دیگری، ممکن است با مشکلات خاصی همراه باشد. بسیاری از بیماران تصور میکنند که پس از نصب بریج دیگر نیازی به مراقبت ویژه ندارند، در حالیکه بیتوجهی میتواند منجر به پوسیدگی دندانهای پایه، التهاب لثه یا حتی لق شدن بریج شود. آگاهی از مشکلات بریج دندان، دلایل بروز آنها و راههای پیشگیری میتواند به افزایش عمر و عملکرد بهتر این ترمیم کمک کند. در ادامه بهصورت جامع و تخصصی، تمام جنبههای این موضوع را بررسی میکنیم.
بریج دندان چیست و چه کاربردی دارد؟
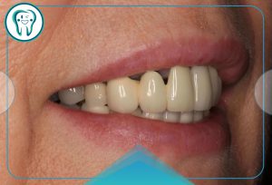
بریج دندان یک پروتز ثابت است که برای پر کردن فاصله بین دندانهای از دسترفته به کار میرود. این روش معمولاً شامل یک یا چند دندان مصنوعی (پونتیک) است که توسط دندانهای پایه یا روکشهای مجاور نگه داشته میشود. کاربرد اصلی بریج، بازگرداندن عملکرد طبیعی جویدن، زیبایی لبخند، و جلوگیری از جابجایی دندانهای کناری است. برخلاف دندان مصنوعی متحرک، بریج دندانی بهصورت دائمی در دهان قرار میگیرد و نیازی به خارج کردن روزانه ندارد. با این حال، انتخاب نوع بریج و مراقبت صحیح از آن نقش تعیینکنندهای در دوام و سلامت دهان و دندان دارد.
انواع بریجهای دندانی و تفاوت آنها با روکش یا ایمپلنت
بریجهای دندانی به چند نوع اصلی تقسیم میشوند:
- بریج سنتی (Traditional Bridge): رایجترین نوع که بین دو دندان پایه با روکش ثابت میشود.
- بریج کانتیلیور (Cantilever Bridge): تنها به یک دندان مجاور متصل میشود، بیشتر در نواحی با فشار کمتر کاربرد دارد.
- بریج مریلند (Maryland Bridge): به کمک بالههای فلزی یا سرامیکی به پشت دندانها چسبانده میشود.
- بریج متکی بر ایمپلنت (Implant-supported Bridge): به جای دندانهای طبیعی، روی پایههای ایمپلنت نصب میگردد.
تفاوت اصلی بریج با روکش دندان در این است که روکش تنها برای پوشش و تقویت یک دندان استفاده میشود، در حالی که بریج چند دندان را جایگزین میکند. از سوی دیگر، ایمپلنت دندان جایگزینی مستقل برای دندان از دسترفته است و برخلاف بریج، نیازی به تراش دندانهای سالم ندارد. انتخاب بین این روشها به سلامت لثه، تراکم استخوان و شرایط دندانهای مجاور بستگی دارد.
شایعترین مشکلات بریج دندان
با وجود اینکه بریج دندانی یکی از روشهای مؤثر و رایج برای جایگزینی دندان از دسترفته است، در صورت رعایت نکردن بهداشت دهان یا اجرای نادرست مراحل درمان، میتواند دچار مشکلات مختلفی شود. آشنایی با این عوارض به بیماران کمک میکند تا بهموقع اقدام به اصلاح یا پیشگیری از آنها کنند. در ادامه، مهمترین مشکلات بریج دندان را بررسی میکنیم:
پوسیدگی دندانهای زیر بریج: یکی از شایعترین مشکلات، پوسیدگی دندانهای پایه است. از آنجا که ناحیه زیر بریج دسترسی سختی دارد، ذرات غذا و پلاک در آن قسمت تجمع مییابد. در صورت عدم استفاده از نخ دندان مخصوص بریج یا واترجت، پوسیدگی به سرعت پیشرفت میکند و ممکن است موجب لق شدن بریج یا نیاز به تعویض کامل آن شود. استفاده روزانه از دهانشویه آنتیباکتریال و مراجعه منظم برای جرمگیری حرفهای از مهمترین راهکارهای پیشگیری است.
شل شدن بریج و افتادن آن: بریج ممکن است به مرور زمان به دلیل فرسایش چسب دندانی یا تحلیل استخوان فک، شل شود و از جای خود بیفتد. این مشکل اغلب با احساس لق بودن هنگام جویدن یا گیر کردن غذا مشخص میشود. در چنین مواردی، بیمار نباید خودسرانه بریج را جا بزند؛ بلکه باید فوراً به دندانپزشک مراجعه کند تا علت مشخص و چسب جدید یا بریج تازه جایگزین شود.
حساسیت یا درد در دندان و لثه: پس از نصب بریج، احساس حساسیت به سرما یا گرما امری طبیعی است و معمولاً طی چند روز برطرف میشود. اما اگر درد مداوم یا تیرکشنده ایجاد شود، ممکن است نشاندهنده التهاب عصب دندان پایه یا پوسیدگی پنهان باشد. در این حالت، دندانپزشک باید بررسی دقیق انجام دهد تا در صورت نیاز درمان ریشه (عصبکشی) انجام شود.
التهاب و بیماری لثه اطراف بریج: عدم رعایت بهداشت دهان میتواند منجر به التهاب، قرمزی یا خونریزی لثه در اطراف بریج شود. با گذشت زمان، این التهاب به بیماری پریودنتال (تحلیل لثه و استخوان) تبدیل میشود که استحکام بریج را به خطر میاندازد. استفاده از مسواک نرم، نخ مخصوص زیر بریج و شستوشوی دهان پس از هر وعده غذایی راهحل اصلی برای جلوگیری از این وضعیت است.
بوی بد دهان ناشی از تجمع باکتریها: وقتی فضای زیر بریج بهدرستی تمیز نشود، باکتریها و مواد غذایی تجزیهشده در آنجا جمع میشوند و موجب بوی ناخوشایند دهان میشوند. این بو معمولاً با مسواک معمولی از بین نمیرود. تمیز کردن حرفهای بریج در کلینیک دندانپزشکی و رعایت دقیق بهداشت دهان و زبان از روشهای مؤثر کنترل این مشکل است.
تغییر رنگ یا ظاهر غیرطبیعی بریج: با گذشت زمان و تماس مداوم با مواد غذایی رنگدار مانند چای، قهوه یا سیگار، سطح بریج ممکن است تغییر رنگ دهد. در بریجهای سرامیکی، این تغییر معمولاً سطحی است و با پولیش قابل رفع است، اما در بریجهای فلزی یا قدیمی ممکن است نیاز به تعویض کامل وجود داشته باشد. انتخاب متریال باکیفیت و اجتناب از مواد رنگزا بهترین راه پیشگیری است.
مشکلات جویدن و گفتار پس از نصب بریج: در برخی بیماران، پس از نصب بریج، احساس نامتعادلی در جویدن یا تغییر در تلفظ برخی حروف مشاهده میشود. این مشکل معمولاً موقتی است و با عادتکردن دهان به وضعیت جدید برطرف میشود. با این حال، اگر بریج بهدرستی تنظیم نشده باشد یا ارتفاع آن نامناسب باشد، دندانپزشک باید اصلاح دقیق انجام دهد تا عملکرد طبیعی بازگردد.
علائم هشداردهنده در بریجهای معیوب
تشخیص زودهنگام مشکلات بریج دندان میتواند از بروز آسیبهای جدیتر مانند عفونت، از دست رفتن دندانهای پایه یا حتی نیاز به تعویض کامل بریج جلوگیری کند. بسیاری از بیماران تا زمانی که درد یا لق شدن بریج اتفاق نیفتد، به نشانههای اولیه توجه نمیکنند. در ادامه، مهمترین علائم هشداردهنده بریج معیوب را بررسی میکنیم که نباید نادیده گرفته شوند.
درد هنگام جویدن یا لمس دندان: اگر هنگام جویدن یا حتی لمس دندان در ناحیه بریج احساس درد یا فشار میکنید، ممکن است چسب زیر بریج ضعیف شده باشد یا پوسیدگی در دندان پایه ایجاد شده باشد. این درد میتواند بهصورت تدریجی شدت پیدا کند و در نهایت باعث التهاب عصب یا شکستگی دندان پایه شود. بیتوجهی به چنین دردی ممکن است منجر به از دست دادن کامل بریج شود. مراجعه سریع به دندانپزشک و بررسی دقیق با رادیوگرافی، بهترین اقدام در این مرحله است.
مشاهده خط تیره یا تغییر رنگ اطراف بریج: خط تیره یا سایه خاکستری در لبههای بریج معمولاً نشانهای از پوسیدگی زیر روکش یا زنگزدگی فلز داخلی بریجهای قدیمی است. این تغییر رنگ میتواند زیبایی لبخند را تحت تأثیر قرار دهد و نشاندهنده نیاز به تعویض بریج باشد. در برخی موارد نیز تحلیل لثه باعث نمایان شدن لبه فلزی بریج میشود که نیازمند اصلاح یا جایگزینی است.
خونریزی یا ورم لثه در نزدیکی پایهها: ورم یا خونریزی مکرر در اطراف بریج، یکی از واضحترین نشانههای التهاب لثه یا تجمع پلاک باکتریایی است. این مشکل در صورت بیتوجهی میتواند به تحلیل استخوان فک منجر شود و پایداری بریج را تهدید کند. شستوشوی روزانه با دهانشویه ضدباکتری، جرمگیری منظم و استفاده از نخ زیر بریج از راههای اصلی کنترل این علائم است. اگر خونریزی بیش از چند روز ادامه یابد، حتماً باید توسط دندانپزشک معاینه شود.
احساس لق بودن در ناحیه بریج: لق شدن بریج به معنی وجود نقص در چسب یا تخریب یکی از دندانهای پایه است. این وضعیت خطرناک است، زیرا در صورت ادامه فشار جویدن، ممکن است دندان پایه بشکند یا بریج از دهان خارج شود. احساس حرکت جزئی یا صدای کلیک هنگام خوردن غذا نیز نشانه اولیه همین مشکل است. در این موارد، توصیه میشود بیمار از وارد کردن فشار زیاد هنگام جویدن خودداری کرده و سریعاً برای بررسی تخصصی اقدام کند.
دلایل بروز مشکلات در بریج دندان
هرچند بریج دندان یکی از روشهای مطمئن برای جایگزینی دندان از دسترفته است، اما در صورت بیتوجهی به جزئیات طراحی، نصب یا مراقبت، میتواند دچار نقص و خرابی شود. شناخت علل اصلی بروز مشکلات در بریج دندانی به بیماران کمک میکند تا از تکرار این خطاها جلوگیری کرده و عمر بریج خود را افزایش دهند. در ادامه، مهمترین دلایل بروز مشکلات بریج دندان را بررسی میکنیم.
نصب نادرست توسط دندانپزشک: دقت و مهارت دندانپزشک نقش تعیینکنندهای در موفقیت درمان دارد. اگر تراش دندانهای پایه بیش از حد انجام شود یا زاویه بریج بهدرستی تنظیم نشود، فشار نامتوازن هنگام جویدن ایجاد میشود. این فشار میتواند منجر به لق شدن یا شکست بریج شود. همچنین چسبزدن ناصحیح باعث ایجاد فضای میکروسکوپی بین بریج و دندان میشود که محل تجمع باکتریها خواهد بود.
بهداشت ضعیف دهان و دندان: بسیاری از مشکلات بریج دندانی نتیجه مستقیم رعایت نکردن بهداشت دهان است. تمیز نکردن فضای زیر پونتیک (دندان مصنوعی وسط بریج) باعث تجمع پلاک، بوی بد و پوسیدگی دندانهای پایه میشود. استفاده از نخ دندان مخصوص بریج، واترجت و دهانشویه ضدباکتری از ملزومات روزانه مراقبت از بریج محسوب میشود.
استفاده از مواد نامرغوب در ساخت بریج: کیفیت مواد مورد استفاده در بریج تأثیر مستقیمی بر دوام، ظاهر و مقاومت آن دارد. بریجهایی که از آلیاژهای ضعیف یا چینیهای بیکیفیت ساخته میشوند، زودتر دچار ترک، لبپریدگی یا تغییر رنگ میشوند. انتخاب مواد باکیفیت نظیر زیرکونیا یا سرامیک فشرده و ساخت بریج در لابراتوار معتبر از بروز بسیاری از مشکلات جلوگیری میکند.
فشار بیش از حد هنگام جویدن: افرادی که عادت به جویدن غذاهای سخت مانند یخ، مغزها یا آبنبات دارند، بیش از دیگران در معرض شکستگی یا لق شدن بریج هستند. فشار بیش از اندازه باعث ایجاد ترکهای نامرئی در چسب یا پایهها میشود که در طول زمان بریج را بیثبات میکند. همچنین دندانقروچه شبانه میتواند عامل مخفی تخریب تدریجی بریج باشد و نیاز به گارد محافظ شبانه دارد.
تحلیل لثه و استخوان زیر بریج: با گذشت زمان، بافت لثه و استخوان زیر ناحیه بریج ممکن است تحلیل رود، زیرا در آن قسمت فشاری مشابه دندان طبیعی وجود ندارد. این تحلیل باعث ایجاد فاصله بین بریج و لثه شده و ظاهر لبخند را نازیبا میکند. در چنین شرایطی، ممکن است نیاز به ترمیم بریج یا انجام پیوند استخوان و لثه باشد تا فرم طبیعی دهان بازگردد.
تفاوت مشکلات بریج دندان با سایر روشهای دندانپزشکی
بریج دندانی تنها یکی از روشهای جایگزینی دندان از دسترفته است، اما مشکلات و مزایای آن با گزینههای دیگر مانند ایمپلنت و روکش تفاوتهایی دارد. در ادامه، این تفاوتها را مرور میکنیم تا بیماران بتوانند تصمیم آگاهانهتری بگیرند.
| ویژگی | بریج دندان | ایمپلنت دندانی |
|---|---|---|
| نیاز به تراش دندانهای مجاور | بله، دندانهای سالم باید تراش داده شوند تا پایه بریج شوند | خیر، پایه ایمپلنت درون استخوان فک قرار میگیرد و دندانهای مجاور دستنخورده میمانند |
| مدت زمان نصب | سریعتر | طولانیتر |
| هزینه | کمهزینهتر | گرانتر |
| ماندگاری و دوام | خوب، اما ممکن است دچار پوسیدگی یا لق شدن شود | بالا، بسیار مشابه ریشه طبیعی دندان |
| کاربرد | جایگزینی یک یا چند دندان از دسترفته | جایگزینی دائمی دندان از دسترفته |
| مزایا | سریع، کمهزینه، گزینه مناسب در صورت محدودیت بودجه | حفظ استخوان فک، دوام بالا، بدون نیاز به تراش دندانهای سالم |
| معایب | نیاز به تراش دندانهای سالم، احتمال پوسیدگی یا لق شدن | هزینه بالا، طولانی بودن دوره درمان |
نحوه ترمیم و درمان مشکلات بریج دندان
وقتی بریج دندان دچار مشکل میشود٬ چه بهصورت لق شدن، درد، التهاب یا تغییر رنگ مراجعه سریع به دندانپزشک ضروری است. بیتوجهی به علائم اولیه ممکن است منجر به تخریب دندانهای پایه یا عفونت لثه شود. درمان مؤثر بستگی به نوع و شدت آسیب دارد. در ادامه، مراحل اصلی ترمیم و درمان بریج دندان را بهصورت تخصصی بررسی میکنیم.
بررسی و تشخیص تخصصی توسط دندانپزشک: اولین و مهمترین گام، معاینه دقیق کل ساختار بریج است. دندانپزشک با استفاده از ابزارهای تخصصی و عکس رادیوگرافی وضعیت چسب، دندانهای پایه و سلامت لثه را بررسی میکند. در بسیاری از موارد، پوسیدگی یا شکستگی پایهها در نگاه ظاهری مشخص نیست و تنها از طریق تصویر سهبعدی یا X-ray قابل تشخیص است. بر اساس نتایج، تصمیم گرفته میشود که آیا امکان ترمیم وجود دارد یا باید بریج کاملاً تعویض شود.
ترمیم یا تعویض بریج آسیبدیده: اگر آسیب محدود باشد٬ مثلاً چسب بریج شل شده یا بخشی از روکش لبپریده دندانپزشک میتواند با برداشتن بریج، تمیز کردن پایهها و استفاده از چسب جدید آن را مجدداً نصب کند. اما در صورتیکه دندانهای زیر بریج پوسیده یا شکسته باشند، معمولاً نیاز به تعویض کامل وجود دارد. در این شرایط، ابتدا پوسیدگی درمان شده و سپس بریج جدید با قالبگیری دقیق ساخته میشود. انتخاب متریال مقاوم مانند زیرکونیا یا سرامیک فشرده میتواند دوام بیشتری ایجاد کند.
درمان بیماریهای لثه مرتبط با بریج: اگر مشکل اصلی التهاب، خونریزی یا ورم لثه باشد، درمان باید از لثه آغاز شود. جرمگیری حرفهای، استفاده از دهانشویه ضدباکتری و در موارد شدیدتر، درمانهای لیزری برای حذف بافتهای ملتهب انجام میشود. پس از رفع التهاب، تنظیم دقیق بریج برای جلوگیری از فشار ناهمگون روی لثه ضروری است. در برخی بیماران، درمانهای بازسازی لثه یا پیوند لثه نیز ممکن است نیاز باشد.
راهکارهای خانگی موقت درمان عوارض بریج تا زمان مراجعه
اگر بیمار در شرایطی قرار دارد که امکان مراجعه فوری به دندانپزشک ندارد، برخی اقدامات موقتی میتواند از بدتر شدن وضعیت جلوگیری کند:
- شستوشوی دهان با آب نمک ولرم برای کاهش التهاب.
- پرهیز از جویدن غذاهای سفت یا چسبناک در ناحیه آسیبدیده.
- استفاده از دهانشویه ضدباکتری دو بار در روز.
- تمیز کردن آرام اطراف بریج با مسواک نرم و نخ مخصوص.
این اقدامات تنها برای تسکین موقت است و جایگزین درمان حرفهای محسوب نمیشود. مراجعه به دندانپزشک در اولین فرصت، بهترین راه برای حفظ سلامت دهان و دوام بریج است.
جمعبندی
بریج دندان یکی از مؤثرترین روشها برای جایگزینی دندانهای از دسترفته است، اما موفقیت بلندمدت آن به دقت نصب، کیفیت مواد، و مراقبت مداوم بیمار بستگی دارد. بسیاری از مشکلات مانند پوسیدگی پایهها، التهاب لثه یا لق شدن بریج، نتیجه مستقیم بیتوجهی به بهداشت دهان یا عدم معاینه دورهای است. شناخت علائم هشداردهنده و مراجعه سریع به دندانپزشک میتواند از صرف هزینه و زمان بیشتر برای ترمیم یا تعویض بریج جلوگیری کند.
مهارت دندانپزشک در طراحی، قالبگیری و نصب دقیق بریج، تأثیر مستقیم بر دوام آن دارد. متخصص پروتزهای دندانی با در نظر گرفتن فرم فک، نحوه جویدن و وضعیت لثه، بریجی را انتخاب میکند که بیشترین سازگاری و ماندگاری را داشته باشد. پس از نصب، انجام جرمگیری دورهای و بررسی سلامت لثهها توسط دندانپزشک تضمین میکند که بریج سالها بدون مشکل کار کند. همکاری بیمار و پیروی از توصیههای حرفهای، کلید اصلی حفظ لبخند سالم و زیبا است.
سوالات متداول مشکلات بریج دندان
بله، اگر فضای زیر بریج تمیز نشود، تجمع باکتریها و ذرات غذا میتواند باعث بوی نامطبوع شود. رعایت بهداشت و استفاده از نخ مخصوص ضروری است.
با استفاده روزانه از واترجت، دهانشویه ضدباکتری و نخ مخصوص زیر بریج میتوان از تجمع پلاک جلوگیری کرد و سلامت دندانهای پایه را حفظ نمود.
باید فوراً به دندانپزشک مراجعه کنید. خودسرانه فشار دادن یا چسباندن بریج میتواند آسیب جدیتری ایجاد کند و پایهها را ضعیفتر کند.
ایمپلنت معمولاً ماندگاری بسیار بیشتری دارد (۱۵ تا ۲۰ سال یا بیشتر)، در حالی که عمر بریج بین ۷ تا ۱۰ سال است و به مراقبت بیمار بستگی دارد.
در مواردی که شکستگی سطحی باشد، بریج قابل ترمیم است. اما اگر پایه یا چسب آسیب دیده باشد، باید تعویض کامل انجام شود.
بهتر است تا ۴۸ ساعت پس از نصب، فقط غذاهای نرم مصرف شود تا چسب کاملاً تثبیت شود. سپس بهتدریج میتوان به رژیم عادی بازگشت.
بله، حساسیت خفیف به سرما یا گرما در چند روز اول طبیعی است، اما اگر بیش از یک هفته ادامه یابد، باید علت بررسی شود.
بستگی به نوع بیمه دارد. برخی بیمهها بخشی از هزینه ترمیم یا تعویض بریج را پوشش میدهند، اما اغلب خدمات زیبایی شامل آن نمیشود.
بله، دندان زیر بریج دندان ممکن است عفونی شود. اگر باکتریها به دلیل رعایت نکردن بهداشت دهان و دندان راه خود را در زیر بریج پیدا کنند یا شکاف یا منافذی بین بریج و دندان نگهدارنده وجود داشته باشد، ممکن است اتفاق بیفتد. عفونتها میتوانند منجر به ناراحتی، تورم و حتی آسیب به دندان یا بریج شوند. برای جلوگیری از عفونت، رعایت بهداشت دهان و دندان بسیار مهم است، از جمله مسواک زدن منظم، نخ دندان کشیدن و معاینات دندانپزشکی.
طول عمر بریج دندان به عوامل مختلفی بستگی دارد. یک بریج که به خوبی مراقبت شده باشد میتواند بین 10 تا 15 سال یا بیشتر دوام بیاورد. با این حال، عواملی مانند کیفیت مواد مورد استفاده، فرسودگی روزانه و اقدامات فردی بهداشت دهان و دندان میتواند بر طول عمر آن تأثیر بگذارد. معاینات منظم با دندانپزشک میتواند به نظارت بر وضعیت بریج شما کمک کند و تعیین کند که آیا ترمیم یا تعویض لازم است یا خیر.
بله، بریجهای دندانی را میتوان در صورت نیاز برداشت و تعویض کرد. دلایل مختلفی برای در نظر گرفتن جایگزینی بریج وجود دارد، از جمله آسیب، نگرانیهای زیبایی، یا تمایل به ارتقا به نوع دیگری از بریج. دندانپزشک شما میتواند وضعیت خاص شما را ارزیابی کند، گزینههای شما را مورد بحث قرار دهد و اقدامات لازم را برای برداشتن و جایگزینی بریج انجام دهد.
درد لثه زیر بریج دندان میتواند به دلایل مختلفی ایجاد شود. ممکن است به دلیل تحریک ذرات غذا در زیر بریج، التهاب بافت لثه یا حتی بیماری لثه باشد. برای تعیین علت دقیق ناراحتی لثه و دریافت درمان مناسب، مشورت با دندانپزشک ضروری است. تکنیکهای تمیز کردن مناسب، از جمله استفاده از نخ یا مسواکهایی بین دندانی، میتواند به کاهش مشکلات لثه زیر بریج کمک کند.
بریجهای دندانی را میتوان چندین بار در صورت لزوم تعویض کرد. با این حال، امکان جایگزینی به وضعیت دندانهای نگهدارنده و سلامت کلی دهان شما بستگی دارد. دندانپزشک شما شرایط خاص را ارزیابی کرده و در مورد پتانسیل جایگزینی بریج صحبت خواهد کرد. پیروی از توصیههای آنها برای اطمینان از بهترین نتیجه ممکن برای سلامت دهان ضروری است.
بریجهای دندانی ممکن است به خصوص در ابتدا دقیقاً شبیه دندانهای طبیعی نباشند. با این حال، اکثر بیماران با گذشت زمان با این احساس سازگار میشوند.
بریج دندان را نمیتوان سفید کرد، بنابراین اگر میخواهید لبخندی روشن و یکنواخت داشته باشید، قبل از گرفتن بریج، باید سفید کردن دندانها را در نظر بگیرید.
بریج دندان معمولاً شامل بی حسی موضعی است که حداقل درد را تضمین میکند. هر گونه درد بعد از عمل معمولاً با مسکنهای بدون نسخه قابل کنترل است.











